Die Plica mediopatellaris (medial shelf) ist eine Falte der inneren Gelenkhaut (Gelenkkapsel, Synovia) im Kniegelenk, die in das Innere des Kniegelenks hineinragt. Sie spannt sich in der Regel im inneren Kniegelenkskompartiment von der Innenseite in Richtung Mitte des Kniegelenkes auf und wirkt aufgrund ihrer Lage wie eine Bogensehne. Durch das ständige Gleiten der bogensehnenartigen Plica über den empfindlichen und nur schwer reparablen Gelenkknorpel der inneren Oberschenkelrolle kann es zu einem allmählichen Knorpelschaden kommen.
Entstehungsgeschichte
Die Plica mediopatellaris und weitere Plicae im Knie stammen aus der frühen Kindheitsentwicklung (Embryogenese). Oft bilden sich die Plicae im Laufe des Heranwachsens zurück. Bei wohl über 50 % der Menschen bleibt aber eine Plica zurück und kann dann zu Problemen führen.
Symptomatik
Plicae verursachen nur selten akute Probleme. Vielmehr kommt es zu einer allmählichen Reizsymptomatik durch den oben beschriebenen chronischen Abschermechanismus vom Gelenkknorpel. Bei der Untersuchung lässt sich am gestreckten Knie gelegentlich die Plicafalte über der inneren Oberschenkelrolle tasten. Beim Durchbewegen des Knies lässt sich ein Schnapp-Phänomen an dieser Stelle auslösen.
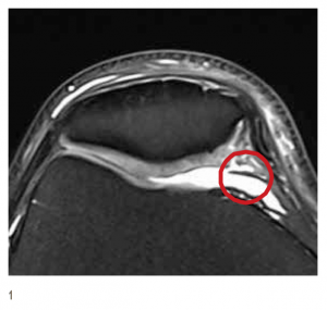
Diagnostik
Mit der Magnetresonanztomographie (Kernspin, MRT) als sehr sensiblem bildgebenden Verfahren lässt sich eine Plica sicher darstellen. Es müssen allerdings die richtigen Sequenzen verwendet werden und dem Untersucher muss das Krankheitsbild vertraut sein. Daher ist die Diagnose eines Plicasyndroms meist eine klinische Diagnose in der Hand eines erfahrenen Unfallchirurgen oder Orthopäden oder aber ein Zufallsbefund bei einer Kniegelenksspiegelung (Arthroskopie) aus anderem Anlass.
Therapie
Konservative Therapiemaßnahmen wie Kniegelenksinjektionen oder Antirheumatika können lediglich den Reizzustand reduzieren, ändern aber nichts am weiteren Vorhandensein der bogensehnenartigen Schleimhautfalte. Deshalb sollte bei entsprechenden Symptomen frühzeitig an die Kniegelenksspiegelung (Arthroskopie) gedacht werden. Diese Operation ist in der Regel ambulant und komplikationsarm durchzuführen. Die für die normal funktionierende Biomechanik des Knies entbehrliche Plica wird mit speziellen Instrumenten entfernt.
Quellen
- https://link.springer.com/article/10.1007/s00142-001-0160-9
- https://link.springer.com/article/10.1007/BF00435646




